服务热线:400-009-9814
搜索
首页
动物实验
技术服务
实验报告
产品中心
新闻动态
关于我们
首页
动物实验
技术服务
实验报告
产品中心
新闻动态
关于我们
企业微信
联系电话
公众号
返回顶部
首页
动物实验
动物实验服务项目
循环系统疾病动物模型
呼吸系统疾病动物模型
消化系统疾病动物模型
泌尿系统疾病动物模型
生殖系统疾病动物模型
内分泌、血液、免疫系统疾病动物模型
神经、精神系统疾病动物模型
眼科疾病动物模型
口腔、耳鼻咽喉相关疾病动物模型
运动系统疾病动物模型
皮肤病动物模型
动物行为学检测
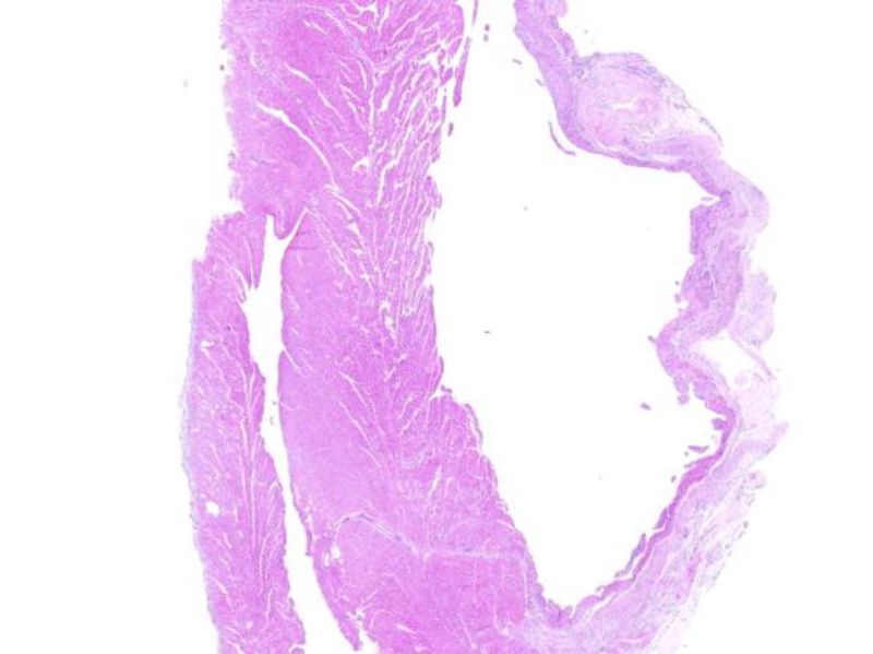
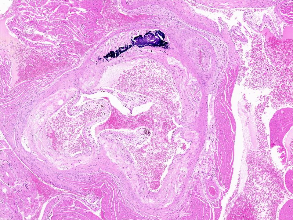
动脉粥样硬化动物模型
高脂血症动物模型
高血压动物模型
心力衰竭动物模型
心律失常动物模型
心梗动物模型
缺血性心脏病动物模型