服务热线:400-009-9814
搜索
首页
动物实验
技术服务
实验报告
产品中心
新闻动态
关于我们
首页
动物实验
技术服务
实验报告
产品中心
新闻动态
关于我们
企业微信
联系电话
公众号
返回顶部
首页
动物实验
动物实验服务项目
循环系统疾病动物模型
呼吸系统疾病动物模型
消化系统疾病动物模型
泌尿系统疾病动物模型
生殖系统疾病动物模型
内分泌、血液、免疫系统疾病动物模型
神经、精神系统疾病动物模型
眼科疾病动物模型
口腔、耳鼻咽喉相关疾病动物模型
运动系统疾病动物模型
皮肤病动物模型
常用中医证候动物模型
脑缺血动物模型
帕金森病动物模型
阿尔茨海默病动物模型
癫痫动物模型
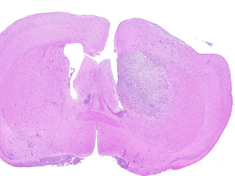
脑肿瘤动物模型
抑郁症动物模型